Bunionette-Deformität
Bei der Bunionette-Deformität – auch Digitus quintus varus oder Schneiderballen – handelt es sich um eine Prominenz (Hervortreten) des fünften Mittelfussköpfchens am äusseren Fussrand. Die Stelle kann zu Druckbeschwerden im Schuh führen. Die Bunionette-Deformität ist überwiegend angeboren. Ein zunehmender Spreizfuss oder enges Schuhwerk können die Symptome verstärken *.
Symptome
Patientinnen und Patienten klagen über eine schmerzhafte Druckstelle und vermehrte Hornhautbildung im Bereich des fünften Mittelfussköpfchens, insbesondere in geschlossenem Schuhwerk.
Diagnose
Die Diagnose wird sowohl klinisch als auch radiologisch gestellt. Das fünfte Mittelfussköpfchen steht am äusseren Fussrand hervor. Der verstärkte Druck beim Schuhetragen kann zu Rötung, Schleimbeutelentzündung oder vermehrter Hornhautbildung führen. Meist liegt gleichzeitig eine Spreizfussdeformität vor *.
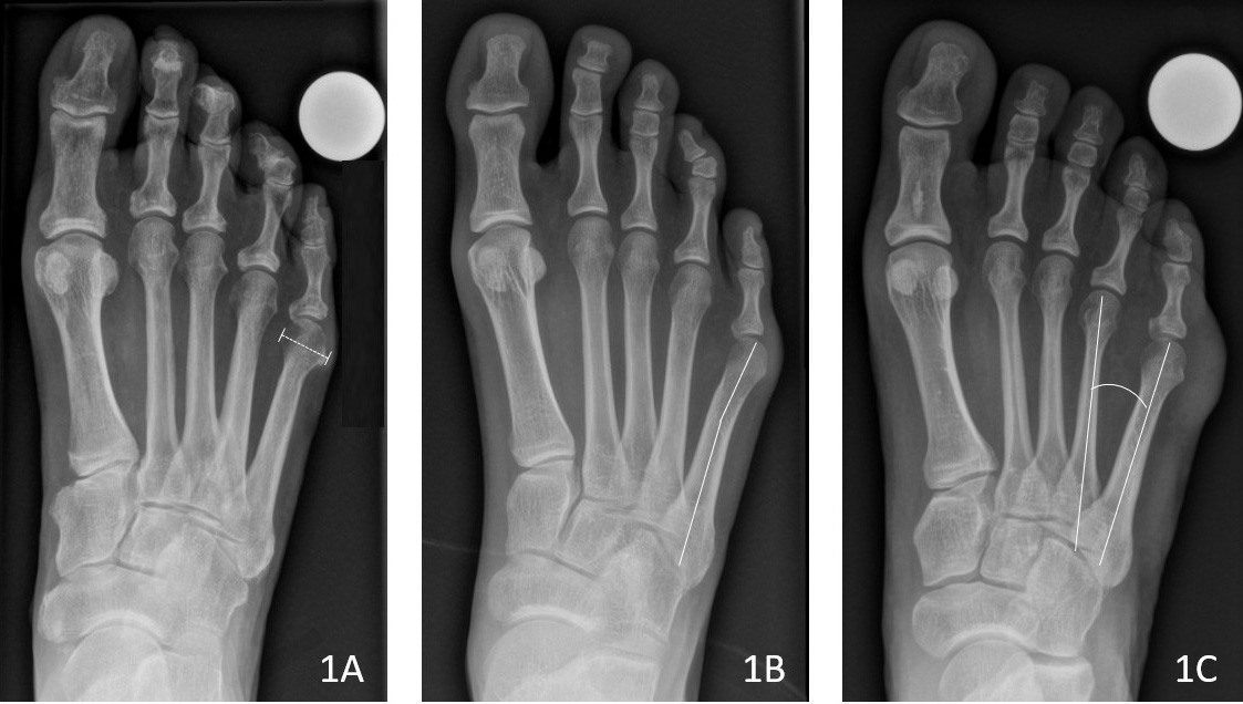
Radiologisch unterscheidbare Deformitätstypen *
| Typ I | Vergrösserter Durchmesser des fünften Mittelfussköpfchens (vgl. Bild unten 1A). |
| Typ II | Abbiegung des fünften Mittelfussknochens nach aussen (vgl. Bild unten 1B). |
| Typ III | Vergrösserter Winkel zwischen dem vierten und fünften Mittelfussknochen (vgl. Bild unten 1C). |

Bild: Universitätsklinik Balgrist
Konservative Therapie
Durch die konservative Behandlung soll der Druck im Bereich des fünften Mittelfussköpfchens reduziert werden. Neben dem Tragen von weitem, bequemem Schuhwerk kann eine Polsterung der Druckstelle hilfreich sein. In Fällen, in denen die Druckstelle in Richtung Fusssohle liegt, kann eine weichbettende Schuheinlage für Erleichterung sorgen. Auch das regelmässige Abtragen der Hornhaut kann die Beschwerden vorübergehend lindern *.
Operative Therapie
Die Wahl der Operationsmethode hängt vom Typ der Deformität ab:
| Typ I | Entfernen der äusseren Prominenz des fünften Mittelfussköpfchens (selten ausreichend). |
| Typ II und III | Durchtrennen und Verschieben des fünften Mittelfussknochens (modifizierte Coughlin-Osteotomie) *. |
Als alleiniger Eingriff, ohne zusätzliche Korrekturen an anderen Zehen, kann dieser ambulant durchgeführt werden.
Welche Risiken bestehen?
Allgemeine Risiken, die bei jeder Operation auftreten können, z. B. Bildung von Blutgerinnseln oder Wundinfektionen, werden durch entsprechende prophylaktische Massnahmen (Blutverdünnung, Antibiotikagabe während der Operation) gesenkt.
Zu den operationsspezifischen Risiken zählt die Unter- oder Überkorrektur der Deformität. Durch eine präzise Planung wird diese Gefahr jedoch grösstmöglich minimiert. Äusserst selten kommt es während der Nachbehandlung vor, dass die durchgeführte Osteotomie nicht heilt und dass die Schrauben im Knochen nicht halten. In diesem Fall ist eine Folgeoperation nötig.
Sollten die Schrauben im geschlossenen Schuh stören, können sie nach abgeschlossener Knochenheilung ambulant wieder entfernt werden.
Nachbehandlung
Nach der Operation ist eine fersenbetonte Vollbelastung im Therapieschuh mit steifer Sohle erlaubt. Der Therapieschuh muss bis zur klinischen und radiologischen Kontrolle, die 6 Wochen nach der Operation stattfindet, getragen werden. Bei vollständiger Knochenheilung kann der Therapieschuh weggelassen und auf normales Schuhwerk gewechselt werden.
Referenzen
Cohen BE, Nicholson CW. Bunionette deformity. J Am Acad Orthop Surg. 2007;15:300-307.
Clinical PGFDP, Thomas JL, Blitch EL et al. Diagnosis and treatment of forefoot disorders. Section 4. Tailor’s bunion. J Foot Ankle Surg. 2009;48:257-263.
Coughlin MJ. Etiology and treatment of the bunionette deformity. Instr Course Lect. 1990;39:37-48.
Vienne P, Oesselmann M, Espinosa N, Aschwanden R, Zingg P. Modified Coughlin procedure for surgical treatment of symptomatic tailor’s bunion: a prospective followup study of 33 consecutive operations. Foot Ankle Int. 2006;27:573-580.
Sprechstunde
Möchten Sie einen Termin in der Klinik oder eine Online-Sprechstunde für Dienstag oder Donnerstag vereinbaren?
Sie erreichen uns wie folgt:
Montag bis Freitag
08.30–12.00 Uhr
13.00–17.00 Uhr