Mittelfussarthrose
Der Mittelfuss besteht aus 11 Gelenken, die die Fusswurzel mit den Zehen verbinden. Sie sind nicht so beweglich wie jene der Zehen und Fusswurzel. Damit tragen sie weniger als 10° zur Fusshebung und Fusssenkung bei *. Allerdings spielt der Mittelfuss eine wichtige Rolle bei der Stabilisierung und beim Abstossen des Fusses sowie in der Anpassung auf unebenem Gelände *.

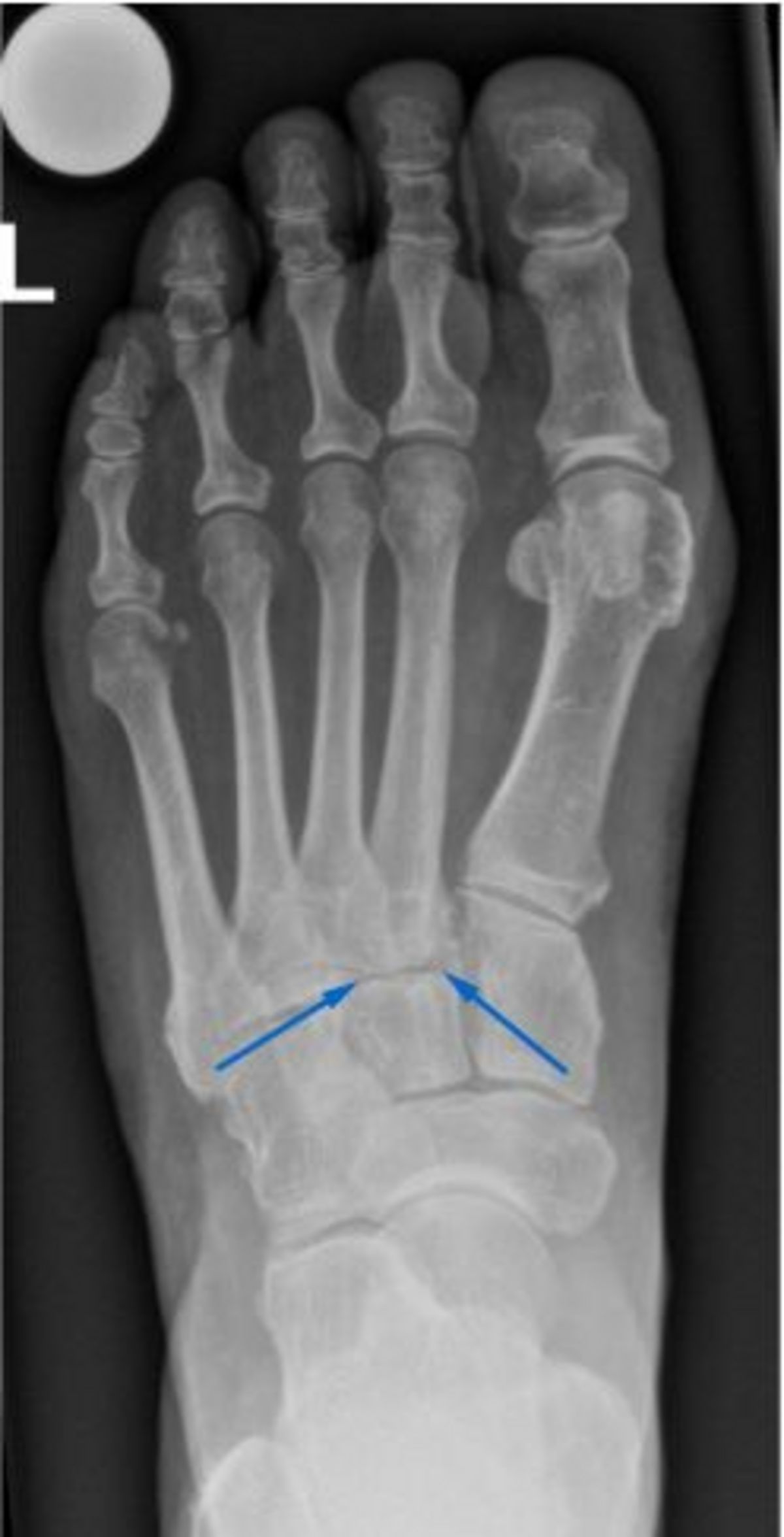
Bild: Universitätsklinik Balgrist
Ursachen
Die Mittelfussarthrose kann nach einer Verletzung (posttraumatisch) oder durch Verschleiss (degenerativ) entstehen. Bei einer Verletzung des Mittelfusses können die Gelenke oder die Bänder, die für ihre Stabilität sorgen, geschädigt werden. Dadurch werden die Gelenke falsch belastet und es kann mit der Zeit zu einem frühzeitigen Verschleiss (Arthrose) kommen. Eine Fehlbelastung aufgrund einer Fehlstellung, z. B. bei einem Knicksenkfuss, kann ebenfalls die Arthrose begünstigen. Weitere Ursachen sind rheumatologische oder neurologische Erkrankungen oder eine Überlastung nach einer Rückfussversteifung.
Symptome
Patientinnen und Patienten mit einer Mittelfussarthrose beschreiben oft Schmerzen beim Gehen, die sich auf unebenem Gelände oder beim Treppensteigen verstärken. Bei fortgeschrittener Arthrose kann der Fuss auch in Ruhe und in der Nacht schmerzen. Zudem kann der Gelenkverschleiss zur Bildung von Knochenanbauten (Osteophyten) führen, die beim Schuhetragen stören.
Diagnose
In der klinischen Untersuchung werden Knochenanbauten gesehen und ertastet. Der Schmerz kann zudem durch eine behutsame Belastung des Mittelfusses ausgelöst werden *. Dabei wird der Fuss dosiert gegen den Rückfuss nach aussen gedrückt und verdreht.
Röntgenbilder sind zur Diagnosestellung hilfreich. Zum einen zeigen sie meist bereits die Arthrose der Gelenke, zum anderen kann ihre Stabilität beurteilt werden. Aufgrund der Form des Fussgewölbes sind Röntgenbilder mehrerer Ebenen notwendig, um eine zuverlässige Aussage treffen zu können. Unter Umständen ist zusätzlich eine Magnetresonanztomographie (MRT bzw. engl. MRI für magnetic resonance imaging) nötig, um das genaue Ausmass der Arthrose und Verletzung des Mittelfusses bestimmen zu können.
Konservative Therapie
Die konservative Behandlung besteht im Wesentlichen aus einer angepassten Schuhversorgung und Kortison-Infiltrationen. Die Massnahmen verbessern nicht den Arthrosezustand, können aber die Symptome lindern. Oft hilfreich bei der Schuhversorgung sind harte Einlagen oder Sohlenversteifungen. Diese können durch eine rückversetzte Abrollhilfe und Einlagen, die das Längsgewölbe stützen, ergänzt werden.
Eine Infiltration mit Lokalanästhetikum und Kortison hilft den genauen Ursprungsort der Beschwerden zu finden und kann mittel- und langfristig zu einer Besserung führen *.
Operative Therapie
Führt die konservative Therapie nicht zum Erfolg, kommt eine Operation in Frage. Bei störenden Osteophyten und nur geringfügiger Arthrose kann ein Abtragen des Knochens zum Erfolg führen. Ist die Arthrose fortgeschritten, fällt die Wahl meistens auf eine Versteifung (Arthrodese). Die betroffenen Gelenke werden dazu durch Schrauben oder Platten fixiert. Da die Mittelfussgelenke wenig zur Gesamtbewegung des Fusses beitragen, ist der Einfluss der Versteifung auf den Bewegungsumfang des Fusses gering. Dadurch ist gehen auch nach der Versteifung weiterhin gut möglich.
Eine Ausnahme bilden jene Gelenke, die zur kleinen Zehe und der daneben ziehen. Sie sind wichtig für die Anpassung des Fusses an unebenes Gelände und sollten deshalb in der Regel nicht versteift werden. Ist die Arthrose hier fortgeschritten, ist die Entfernung des Gelenks als letztes Mittel möglich *. Bei einer Versteifung sollte ausserdem überprüft werden, ob eine Fehlstellung im Mittelfuss vorliegt, sodass diese mitkorrigiert werden kann. Das Gangbild ändert sich aufgrund der geringen Beweglichkeit des Mittelfusses nur geringfügig *.
Nachbehandlung
Damit die Versteifung richtig ausheilen kann, muss der Fuss nach der Operation ruhiggestellt werden. In den ersten 6 Wochen ist deshalb ein Unterschenkelgehgips und Stockentlastung notwendig. Danach erfolgen eine Röntgen- und eine CT-Aufnahme zur Beurteilung des Heilungsfortschritts. Je nachdem wie der Knochen bereits zusammengewachsen ist, muss ein anderer Gips oder ein Schuh mit harter Sohle für weitere 6 Wochen getragen werden.
Häufig gestellte Fragen
Wie sind die Erfolgsaussichten einer Mittelfussversteifung?
Die Mehrheit der Patientinnen und Patienten sind mit der Versteifung ihres Mittelfusses zufrieden oder sehr zufrieden *.
Wie lange muss man im Spital bleiben?
In der Regel wird am dritten Tag nach der Operation der Gips angepasst. Heilt die Wunde wie vorgesehen, ist anschliessend die Entlassung möglich.
Wann kann man wieder laufen nach der Mittelfussversteifung?
In der Regel können Patientinnen und Patienten etwa nach 3 Monaten ohne Hilfsmittel wieder laufen.
Referenzen
Ouzounian TJ, Shereff MJ. In vitro determination of midfoot motion. Foot Ankle. 1989;10:140-146.
Patel A, Rao S, Nawoczenski D, Flemister AS, DiGiovanni B, Baumhauer JF. Midfoot arthritis. J Am Acad Orthop Surg. 2010;18:417-425.
Myerson M. The diagnosis and treatment of injuries to the Lisfranc joint complex. Orthop Clin North Am. 1989;20:655-664.
Grice J, Marsland D, Smith G, Calder J. Efficacy of Foot and Ankle Corticosteroid Injections. Foot Ankle Int. 2017;38:8-13.
Berlet GC, Hodges Davis W, Anderson RB. Tendon arthroplasty for basal fourth and fifth metatarsal arthritis. Foot Ankle Int. 2002;23:440-446.
Kim J, Hoffman J, Steineman B et al. Kinematic Analysis of Sequential Partial-Midfoot Arthrodesis in Simulated Gait Cadaver Model. Foot Ankle Int. 202210711007221125226.
Sangeorzan BJ, Veith RG, Hansen ST. Salvage of Lisfranc’s tarsometatarsal joint by arthrodesis. Foot Ankle. 1990;10:193-200.
Sprechstunde
Möchten Sie einen Termin in der Klinik oder eine Online-Sprechstunde für Dienstag oder Donnerstag vereinbaren?
Sie erreichen uns wie folgt:
Montag bis Freitag
08.30–12.00 Uhr
13.00–17.00 Uhr

